6本ボーンアンカートブリッジ




治療内容
入れ歯が合わないので インプラントにされ 機能面の不具合を解消されました。
| 性別・年齢 | 男性・60歳代 |
| 治療期間 | 4ヶ月 |
| 治療費 | 3,850,000円 (税込み) |
| リスク副作用 | インプラント周囲炎 |
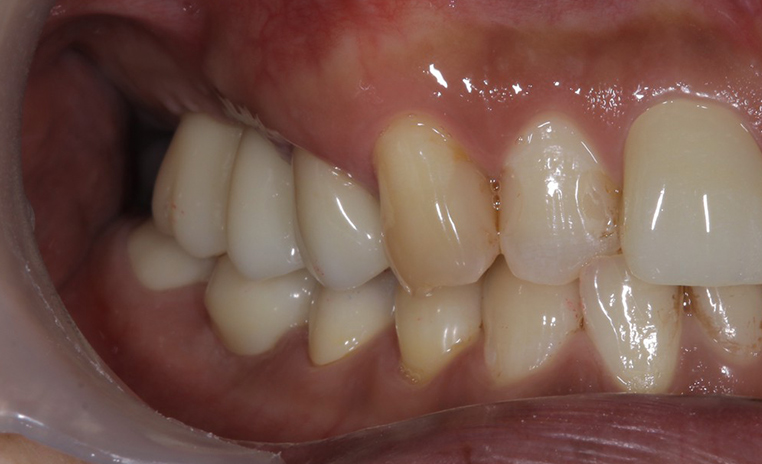
臼歯部インプラント




治療内容
健康保険でブリッジをされていましたが 不具合があり 前歯が傷んできたので インプラントを行いました。
| 性別・年齢 | 男性・30歳代 |
| 治療期間 | 4ヶ月 |
| 治療費 | 880,000円 (税込み) |
| リスク副作用 | インプラント周囲炎 |
前歯部インプラントブリッジ




治療内容
入れ歯を使用されていましたが しゃべりづらいので インプラントにされ 解消されました。
| 性別・年齢 | 男性・60歳代 |
| 治療期間 | 5ヶ月 |
| 治療費 | 1,276,000円 (税込み) |
| リスク副作用 | インプラント周囲炎 |